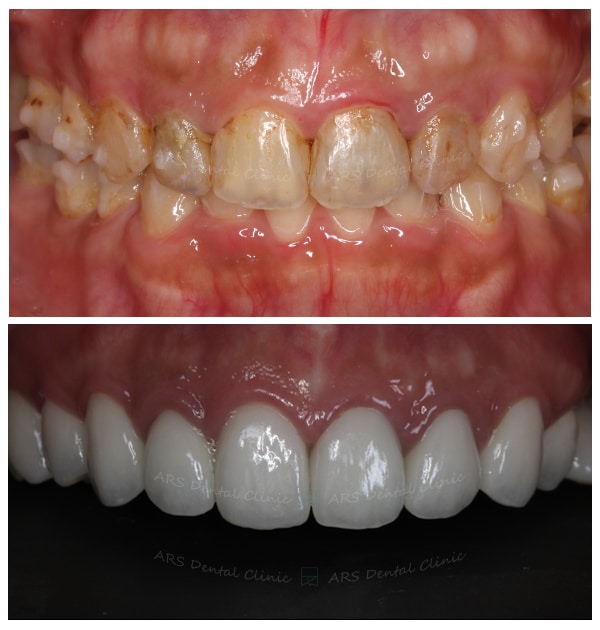
『案例92』C.L.S+全瓷冠+全瓷貼片
治療項目:C.L.S牙冠增長術+全瓷冠+全瓷貼片
治療顆數:上排前牙8顆(#14-#24)
主治醫師:陳映瑜醫師、蔡昀蓉醫師
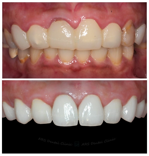
『案例11』C.L.S+全瓷冠+全瓷貼片
治療項目:C.L.S牙冠增長術+全瓷冠+全瓷貼片
治療顆數:上排前牙8顆(#14-#24)
主治醫師:鄭聖達醫師、蔡昀蓉醫師
『案例9』C.L.S+全瓷冠+全瓷貼片
治療項目:C.L.S牙冠增長術+全瓷冠+全瓷貼片
治療顆數:上排前牙8顆(#14-#24)
主治醫師:鄭聖達醫師、蔡昀蓉醫師
【全瓷冠+陶瓷貼片+水雷射牙冠增長術】 案例4 – 鄭聖達醫師、蔡昀蓉醫師聯合主治
水雷射牙冠增長術#14-#24 全瓷冠+陶瓷貼片#14-#24 (實際成效 因人而異 請諮詢專業醫師)
【全瓷冠+陶瓷貼片+水雷射牙冠增長術】 案例3 – 鄭聖達醫師、蔡昀蓉醫師聯合主治
水雷射牙冠增長術#14-#24 全瓷冠+陶瓷貼片#13-#23 (實際成效 因人而異 請諮詢專業醫師)
【全瓷冠+陶瓷貼片+水雷射牙冠增長術】 案例2 – 鄭聖達醫師、蔡昀蓉醫師聯合主治
水雷射牙冠增長術#14-#24 全瓷冠+陶瓷貼片#13-#23 (實際成效 因人而異 請諮詢專業醫師)
【全瓷冠+水雷射牙冠增長術】 案例6 – 鄭聖達醫師、蔡昀蓉醫師聯合主治
水雷射牙冠增長術#14#12#11-#21-#24 全瓷冠#14-#24 (原本無#13 將#14做成#13)…
【全瓷冠+水雷射牙冠增長術】 案例5 – 鄭聖達醫師、蔡昀蓉醫師聯合主治
水雷射牙冠增長術#13-#23 全瓷冠#13-#23 (實際成效 因人而異 請諮詢專業醫師)
【全瓷冠+水雷射牙冠增長術】 案例4 – 鄭聖達醫師、蔡昀蓉醫師聯合主治
水雷射牙冠增長術#13-#23 全瓷冠#11#21 (實際成效 因人而異 請諮詢專業醫師)
【全瓷冠+陶瓷貼片+水雷射牙冠增長術】 案例6 – 鄭聖達醫師
水雷射牙冠增長術#13-#23 全瓷冠+陶瓷貼片#14-#25 (實際成效 因人而異 請諮詢專業…
【全瓷冠+陶瓷貼片+水雷射牙冠增長術】 案例5 – 鄭聖達醫師
水雷射牙冠增長術#14-#24 全瓷冠+陶瓷貼片#15-#25+#35-#45 (實際成效 因人而異 請諮詢專…
【全瓷冠+陶瓷貼片+水雷射牙冠增長術】 案例4 – 鄭聖達醫師
水雷射牙冠增長術#15#14#13#11+#21#23#24#25 全瓷冠+陶瓷貼片#15-#25 (實際成效…
【全瓷冠+水雷射牙冠增長術】 案例3 – 鄭聖達醫師、蔡昀蓉醫師聯合主治
水雷射牙冠增長術#13-#23 全瓷冠#12-#22 (實際成效 因人而異 請諮詢專業醫師)
【全瓷冠+陶瓷貼片+水雷射牙冠增長術】 案例1 – 蔡昀蓉醫師
水雷射牙冠增長術#14-#24 全瓷冠+陶瓷貼片#17-#27+#37-$47 (實際成效 因人而異 請諮詢專…
【陶瓷貼片+水雷射牙冠增長術】 案例1 – 鄭聖達醫師、蔡昀蓉醫師聯合主治
水雷射牙冠增長術#13-#23 陶瓷貼片#13-#23 (實際成效 因人而異 請諮詢專業醫師)
【陶瓷貼片+水雷射牙冠增長術】 案例1 – 蔡昀蓉醫師、陳映瑜醫師聯合主治
水雷射牙冠增長術#13-#23 陶瓷貼片#12-#22 (實際成效 因人而異 請諮詢專業醫師)
【全瓷冠+陶瓷貼片+水雷射牙冠增長術】 案例1 – 鄭聖達醫師、蔡昀蓉醫師聯合主治
水雷射牙冠增長術#14-#24 全瓷冠+陶瓷貼片#14-#24+#34-#44 (實際成效 因人而異 請諮詢專…
【全瓷冠+水雷射牙冠增長術】 案例2 – 鄭聖達醫師、蔡昀蓉醫師聯合主治
水雷射牙冠增長術#14-#24 全瓷冠#12-#22 (實際成效 因人而異 請諮詢專業醫師)
【全瓷冠+陶瓷貼片+水雷射牙冠增長術】 案例3 – 鄭聖達醫師
全瓷冠+陶瓷貼片#14-#24+#34-#44+水雷射牙冠增長術#14-#24 (實際成效 因人而異 請諮詢專…
【全瓷冠+陶瓷貼片+水雷射牙冠增長術】 案例1 – 蔡昀蓉醫師、陳映瑜醫師聯合主治
水雷射牙冠增長術#14-#24 全瓷冠+陶瓷貼片#13-#23 (實際成效 因人而異 請諮詢專業醫師)
【全瓷冠+陶瓷貼片+水雷射牙冠增長術】 案例2 – 鄭聖達醫師
全瓷冠+陶瓷貼片#13-#23+水雷射牙冠增長術#13-#23 (實際成效 因人而異 請諮詢專業醫師)
【全瓷冠+水雷射牙冠增長術】 案例1 – 鄭聖達醫師、蔡昀蓉醫師聯合主治
水雷射牙冠增長術#13-#23 全瓷冠#12-#22 (實際成效 因人而異 請諮詢專業醫師)
【全瓷冠+陶瓷貼片+水雷射牙冠增長術】 案例1 – 鄭聖達醫師
水雷射牙冠增長術#13-#23+#34-#44陶瓷貼片+全瓷冠#13-#23+#33-#43 (實際成效 因人…
【全瓷冠+陶瓷貼片+水雷射牙冠增長術】 案例4 – 鄭聖達醫師、蔡昀蓉醫師聯合主治
水雷射牙冠增長術#14-#24 全瓷冠+陶瓷貼片#14-#24 (實際成效 因人而異 請諮詢專業醫師)
【全瓷冠+陶瓷貼片+水雷射牙冠增長術】 案例3 – 鄭聖達醫師、蔡昀蓉醫師聯合主治
水雷射牙冠增長術#14-#24 全瓷冠+陶瓷貼片#13-#23 (實際成效 因人而異 請諮詢專業醫師)
【全瓷冠+陶瓷貼片+水雷射牙冠增長術】 案例2 – 鄭聖達醫師、蔡昀蓉醫師聯合主治
水雷射牙冠增長術#14-#24 全瓷冠+陶瓷貼片#13-#23 (實際成效 因人而異 請諮詢專業醫師)
【全瓷冠+水雷射牙冠增長術】 案例6 – 鄭聖達醫師、蔡昀蓉醫師聯合主治
水雷射牙冠增長術#14#12#11-#21-#24 全瓷冠#14-#24 (原本無#13 將#14做成#13)…
【全瓷冠+陶瓷貼片+水雷射牙冠增長術】 案例1 – 鄭聖達醫師、蔡昀蓉醫師聯合主治
水雷射牙冠增長術#14-#24 全瓷冠+陶瓷貼片#14-#24+#34-#44 (實際成效 因人而異 請諮詢專…
【全瓷冠+陶瓷貼片+水雷射牙冠增長術】 案例1 – 蔡昀蓉醫師、陳映瑜醫師聯合主治
水雷射牙冠增長術#14-#24 全瓷冠+陶瓷貼片#13-#23 (實際成效 因人而異 請諮詢專業醫師)









































































































