實際成效 因人而異 請諮詢專業醫師
美觀性 牙冠增長 術 微笑曲線設計 鄭聖達醫師
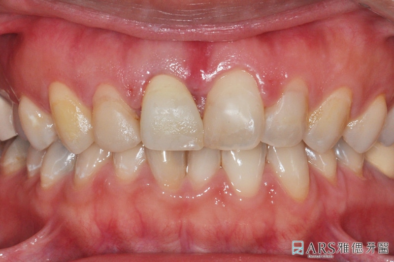
就診時 因為牙齦不整齊 笑的時候會有露牙齦的問題
且前牙牙套顏色及型態不好,牙齒的走向也不夠理想
建議病人進行牙齦整形及臨時牙套設計
調整牙齦曲線 與微笑曲線
術後兩星期,更換臨時牙套,與患者討論微笑線設計
術後,更換假牙製作貼片 ,建立良好的美觀性微笑曲線
何謂牙冠增長術:可以使「臨床牙冠」(Clinical Crown)長度增加的手術方式。
臨床牙冠 ,即是牙齦上露出的牙齒部分。因此「牙冠增長術」就是使牙銀下健康的齒質暴露出來的手術。
「牙冠增長術」建議的施行時機點?
l.牙齦下的齲齒(蛀牙)
2.牙齒斷裂至牙齦下方
3.固定假牙的邊緣位於牙齦下面太深
4.臨床牙冠太短
5.笑齦(微笑時,露出過多牙齦)
6.前牙牙肉高度不一時
l.當齲齒(蛀牙) 位於牙齦不易清除乾淨,填補時容易會有口水及血液等污染,因此無法做到密合的處理。需要以「牙冠增長術」將蛀牙完全暴露出來,才能做好填補。
2.當牙齒斷裂或是牙齦下方牙齒結構因意外傷害(例如車禍、跌倒、撞擊等)或嚴重蛀牙而斷裂這些齒質缺損大的牙齒必需以牙冠增長術 固定假牙重建其功能及美觀。
3.固定假牙的邊緣位於牙齦下面太深 固定假牙一定要做在完好的齒質上,其邊緣才會密合,才可避免以後再有蛀牙,並防止牙齒斷裂。因此當牙齒斷裂至牙齦下方時,必需先看施行「牙冠增長術」,將完好的齒質暴露出來,如此假牙才能做好。
若假牙的邊緣太深入牙齦內,印模時無法將假牙邊緣完整印出,則製做出來的假牙與自然牙之密合情形不好,以後容易再有蛀牙發生。而且放置至牙齦下太深之假牙容易藏污納垢,並刺激牙周組織,導致牙齦紅腫發炎。所以應施行「牙冠增長術」,使假牙邊緣不要位於牙齦下面太深。
4.臨床牙冠太短
需要以固定假牙膺復之自然牙若臨床牙冠太短,假牙之固位不好,容易脫落。此時應以「牙冠增長術」增加其臨床牙冠長度,以增強假牙之固位。
牙冠增長術的問與答 Q&A
哪些牙齒建議做「牙冠增長術」呢?
不是的,如果蛀牙太嚴重,使齒質非常脆弱或是牙齒因牙周病導致牙周組織破壞嚴重,即使是以假牙膺復預後也不好時,就應選擇拔牙。
如果應該做「牙冠增長術」而沒做,會怎麼樣呢?
可能會有下列現象發生:
l.齒槽骨喪失,牙周組織持續破壞。
2.牙肉萎縮。
3.牙肉紅腫。
手術前該做那些檢查?
首先醫師會做臨床探測檢查:若有蛀牙,要將蛀牙之窩洞挖除乾淨;若是牙齒斷裂,要先將斷裂片拿掉。如果有不良的假牙也要先拆除,如此才可判斷蛀牙的位置、牙齒的斷裂處及假牙的邊緣與牙齦之相對關係。接著再做口腔放射線檢查:要照射口內根尖周X光片,以了解牙根之長度、形態,以及牙齒缺損處或假牙邊緣與齒槽骨的相對關係。如此醫師才可判斷是否適合做「牙冠增長術」。
「牙冠增長術」後多久才可製做假牙?
通常術後一週即可拆線,4~6 週後可開始製做假牙。在美觀較重要之區域,如上顎前牙區則建議觀察較長時間,待牙齦穩定後才做假牙。
不適合做牙冠加長術的情況
1.不利的牙冠—牙根—牙槽骨的關係
2.美觀的考量
3.前牙部位單顆牙時







