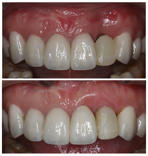
實際案例-牙周重建案例

You are here: