實際成效 因人而異 請諮詢專業醫師

牙根覆蓋術(Connective tissue graft for Root coverage)
適應症:
當牙齦因為刷牙方式不當,矯正時或其他因素而發生退縮,造成牙根暴露、牙根敏感和美觀需求困擾時可由專業醫師評估後接受牙根覆蓋術。
術前評估:
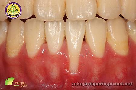
<本案例為外院矯正後至教學醫院門診評估改善牙齦退縮情形>

咬合面觀:左下正中門牙牙齒角度略為突出於牙肉連線,舌側明顯結石堆積與牙齦炎
預期術中為了讓牙肉有較多空間,會針對突出的牙根表面做合理範圍內的修整,預先告知可能術後恢復期會有敏感的狀況
手術目標訂定:
解決牙齦退縮問題並增厚牙肉,達到美觀改善以及對外力的抵抗能力
手術方式:
在門診於局部麻醉下進行即可。
將牙齦退縮處的牙根表面及牙齒周圍軟組織分層翻瓣處理,從上腭取下游離結締組織,將取下的游離牙齦組織縫合固定於牙齦退縮處。
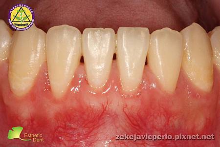
術後一周回診拆線:
正面觀:牙肉呈現明顯紅腫,為移植牙肉得到養分供應已存活的好現象。
咬合面觀:目前仍有明顯腫脹,可見到牙肉增厚的成果。
術後三個月回診追蹤:
正面觀:退縮處改善且穩定,原先很薄可透出下方牙根形狀的牙肉也已順利增厚。
咬合面觀:先前腫脹已經消腫完全,可以見到牙肉已均勻覆蓋在牙根的外緣。
_________________________________________________________________
以下是一些您或許想知道以及擔心的事
術前評估:
每人狀況不同,目標區牙齦退縮程度與臨牙牙肉的關係亦不同,建議的術式以及手術範圍皆可能因而不同,需尋求專業醫師評估與溝通。
術後可能併發症:
包含一般手術之可能併發症:疼痛、出血、瘀血、腫脹、感染。請配合您的醫師囑咐服用藥物以及冰熱敷建議,一起將術後不適的情形降到最低。
術後如有腫脹,通常於第三天為最大值,之後會漸漸消退。前兩天若痰中有血絲乃屬正常現象。手術部位的臉頰如出現淤血之痕跡,約於一星期後漸漸散退。
術後注意事項:
請於麻藥完全消退後再進食,避免咬傷臉頰。
請遵循醫囑定時服藥。
請避免用力漱口、使用吸管吸飲料、將血水吐出等造成凝血血塊脫落因而延長出血時間的動作。如果有大量出血不止的情況,請速回醫院或至急診處處理。
請避免食用太熱、刺激或硬的食物,避免用手術區域咀嚼,避免拉動傷口。
請避免多說話或劇烈運動、游泳,避免拉動臉頰或嘴唇的機會。
不可抽煙,避免影響傷口癒合以及移植組織存活。
上腭(游離牙齦組織供應區)手術區請儘量避免碰到。術後如遇大量流血的情況時,請先用手指配合濕潤的紗布壓迫上腭約10分鐘,如流血現象仍未減緩,請聯絡醫師接受進一步處理。
術後有體溫輕微上升的現象為正常手術後生理反應,請多休息與多喝水。但如果有持續高燒不退請聯絡手術醫師或回診檢查。
非手術區域須正常刷牙。手術區域在拆線前不可刷牙,早晚可使用手術後專用漱口水。拆線後按照醫師指示正常刷牙,或可用棉花棒沾漱口水擦拭手術區牙齦及牙齒。
手術後72小時內進行冰敷,可以減少腫脹和疼痛的情形,可於冰敷袋外包毛巾避免凍傷,以每冰敷15分鐘休息15分鐘的方式進行。
手術後超過72小時進行熱敷,可以加速腫脹和瘀血的消退,以大約接近洗澡水的溫度,熱敷15分鐘而後休息15分鐘,時間許可下請延長熱敷的時間直至腫脹完全消退。
以上建議為一般通則,必要時醫師會視您的狀況調整建議,如有疑問可詢問手術醫師。






