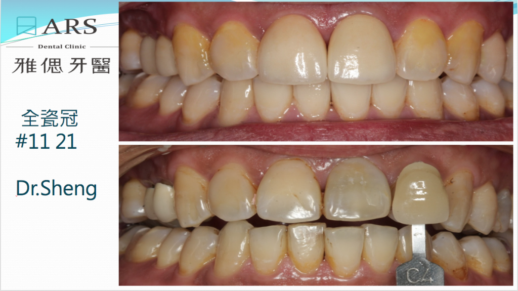
【全瓷冠+陶瓷貼片】 案例1 – 鄭聖達醫師 (實際成效 因人而異 請諮詢專業醫師)

全瓷冠 鄭聖達醫師

陶瓷貼片-瓷牙貼片-台北牙醫推薦-雅偲牙醫

數位全瓷美學

現代人相當注重自己的外在形象,為了讓追求「美」的患者能擁有一口潔白的美麗牙齒,雅偲數位全瓷美學療程幫你一次美白牙齒,改善牙齒大小和整齊度,搭配微笑設計模擬雙向溝通,精準實現完美貝齒和微笑線!

更多美學知識

類似案例