鄭聖達 醫師
院長
院長 鄭聖達 醫師
牙周病專科 / 植牙專科 / 全口重建/前牙美容
學歷
美國哈佛大學審美人工植牙專科研究
ITI Fellowship 國際植牙學會 院士
WCLI Fellowship 國際雷射臨床學會院士
國立台灣大學牙醫系
臺大醫院牙周病科暨植牙專科專科訓練
臺大牙醫系牙周病碩士班
經歷
臺大醫院牙周病科兼任主治醫師暨臨床指導醫師
臺灣大學牙醫學系牙周病學碩士班
臺灣大學牙醫學學士
臺大醫院牙周病暨人工植牙專科訓練
美國哈佛大學審美人工植牙專科研究訓練
ITI Fellowship 國際植牙學會 院士 Taipei study club co Director
WCLI Fellowship 國際雷射臨床學會院士
台北市牙科植體學會專業醫師
台植盟植牙專科醫師
AOIT中華民國口腔植體學會專科醫師
WCLI 國際雷射醫學會 院士
台北市植體醫學會理事
亞太植牙醫學會理事
中華民國口腔植體學會理事
隱適美認證醫師
宜可麗 隱形牙套認證醫師
臺大醫院繼續教育中心助教
台大楓城校友會 理事 台大牙醫台北市校友會會長 2022-2024
臺北市牙醫師公會學術委員學術副主委
臺北市牙醫師公會監事 2023-2025
國際植牙醫學會 ITI internation team for implantology
專長
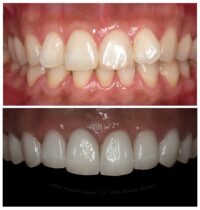
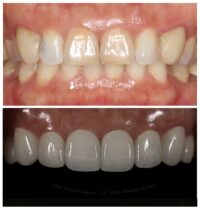
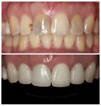
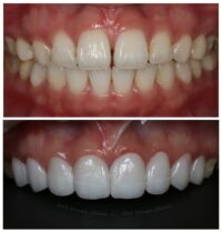
美容牙科(冷光美白 / 居家美白)、全瓷貼片、全瓷牙冠
牙周病治療 / 牙周美容治療
( 牙根覆蓋術 / 前牙美學/ 牙周美容手術 / 牙周組織再生手術 )
人工植牙
齒槽骨重建術
引導骨再生手術
全口重建
前牙美容
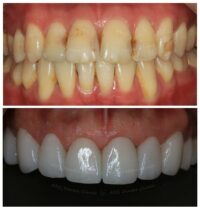
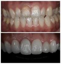
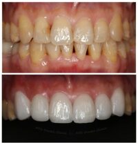
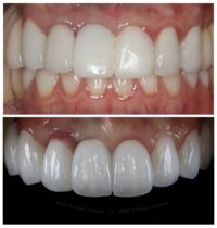
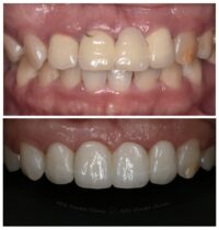
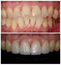
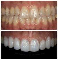
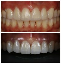
植牙經驗豐富的鄭聖達院長,善於針對患者的需求及狀況,擬定最佳化的治療計畫,重新替您建立充滿信心的迷人微笑。是權威的專科醫師,專長治療病人的牙周病,幫助病人恢復色澤亮麗、形狀優美的牙齦及牙齒,但是她更喜歡教導病人如何有效地預防牙周病及牙結石,擁有一口良好功能的完美牙齒。另外對於美容牙科的部份,全瓷美白,美觀性牙齦手術等,鄭醫師接受過專業的訓練,有大量的臨床經驗。相信可以提供病人完善的治療。
報告演講講作
2013 中華民國口腔植體學會
笫九屆笫二次會員大會暨學術研討會優秀論文報告 笫二名
2013/03/16 ITI 春季讀書會 互動式病例 主講
2013/01/06 台北市植牙醫學會 iti 會員學術活動演講
2012/11/25 中華民國口腔植體學會
笫九屆笫二次會員大會暨學術研討會優秀論文報告 笫一名
2012/09 AAO2012 笫八屆國際亞洲骨整合醫學會 口頭論文報告 – 優選
2012/07/28- 台灣亞太植牙學會-學術大會 臨床病例展示
『 不同材料於鼻竇增高術中的吸收速率臨床比較The resorption rate of different grafting materials(Cerasorb ,Bio-Oss) used for maxillary sinus augmentation』2012-08-05 AOIT 中華民國口腔植體學會 專審會 植牙跨科協同治療 及 病例討論會
2012/08/02 台灣牙周病醫學會 學術研討會 病例報告
牙周再生手術 不同再生材料與術式的比較
協同治療專科臨床病例研討
2012-03-24 台灣牙周病學會 北區病例討論會 病例報告
臨床觀察不同材料於牙周組織再生 以及上顎區側窗開口手術 不同骨粉術後病例研討
Skills
Contact
Phone numbers: 02 23703777
Email:arsdentclinic@gmail.com
院長










