照鏡子時看到自己的牙齒😬😬
不禁開始回想小時候
我記得小時候自己牙齒顏色好像沒有這麼黃
也都很認真的刷牙
怎麼會牙齒那麼黃呢🤔❓
會不會是因為開始上班後
愛上了咖啡☕️
每天都需要一杯咖啡來提神
所以導致牙齒變成黃呢⁉️
上網爬文尋找牙齒變黃的原因
原來真的跟飲食息息相關呀😱😱😱
尋找了解決辦法
預約很多人推薦 #雅偲牙醫 諮詢 #牙齒美白
看診中,聽完諮詢師介紹美白療程🦷✨
才知道原來牙齒美白不只一種方式
#噴砂美白、#冷光美白、#居家美白或 #陶瓷美白貼片
而雅偲牙醫有一個類似套餐概念的☀️三效美白
會先噴砂美白之後再做冷光美白
因為利用噴砂可以把牙齒表面的垢全部去除乾淨
這樣在上冷光美白藥劑的時候
就不會有垢阻擋到藥劑接觸牙齒的那面
效果可以更加徹底👍🏻👍🏻
最後會印製牙齒模型去製作居家美白用的牙托
也就是居家美白藥劑會使用到的
諮詢評估當天
醫師檢查我的牙齒🦷時
有發現我牙齒表面的垢雖然不是很多
但是仍有薄薄一層附著在牙齒上
這個平常自己刷牙也是不容易刷掉的
醫師說因為這層垢
又導致色素更容易附著
也就讓我的牙齒一直被食物飲料染色
所以真的不是我刷牙不認真🥺🥺
而是那層垢是需要透過噴砂才能去除乾淨的
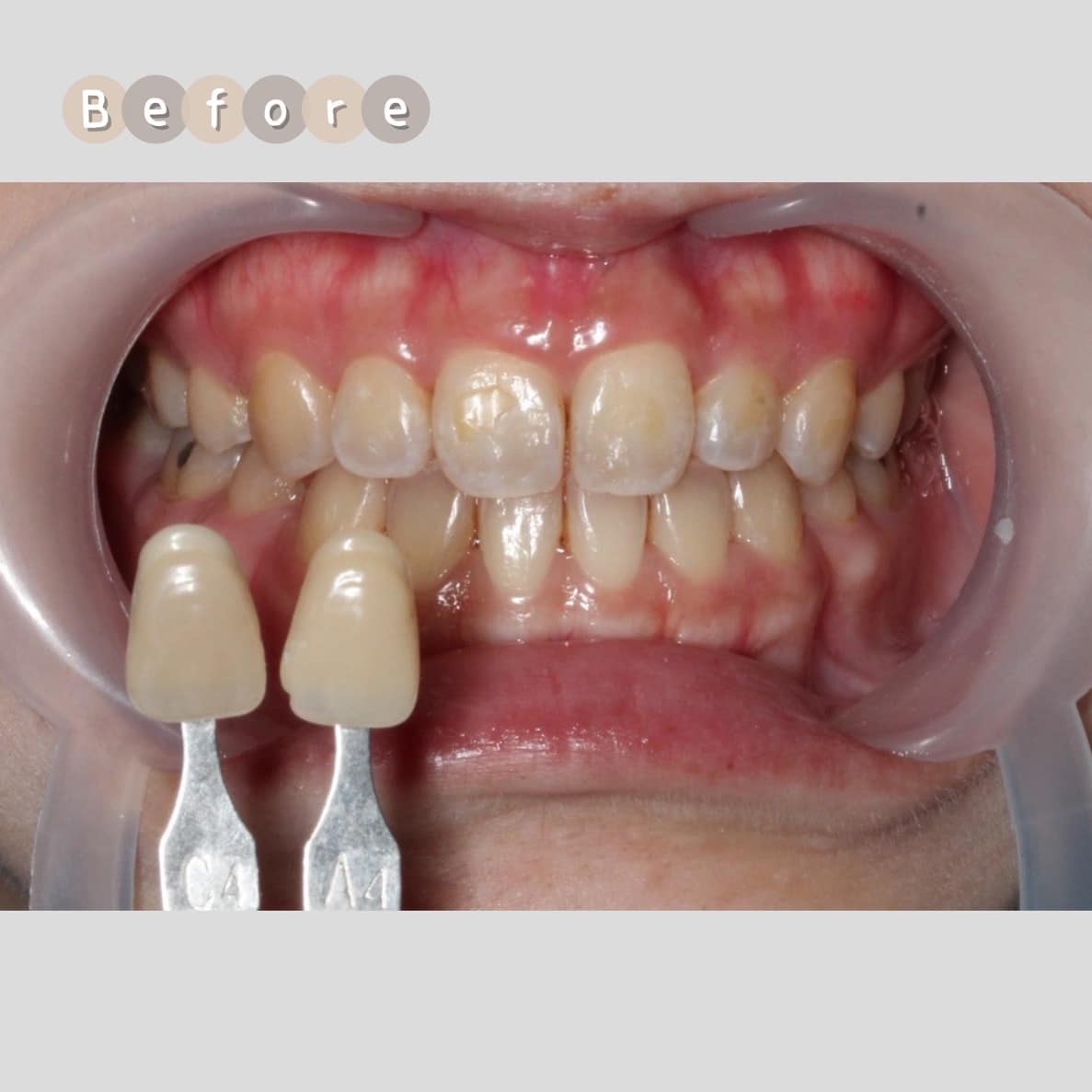
但因為每個人牙齒被染色的情況不一
所以會用牙齒比色板拍照記錄術前術後
做完療程才知道自己牙齒能夠變白多少
當下就馬上跟醫師說
我要做三效美白🌈🌈🌈
術前會有諮詢師耐心告知流程項目
以及療程完畢後需要照護及注意的事項
照光時因為不適合眼睛直視😎
會有洞巾幫我保護整個臉部
只會露出口鼻位置
這樣我也不用擔心光線會照射到我的臉
療程結束
鏡子拿起來看
天啊❗️原來我原本的牙齒一點都不黃呀
我這是被咖啡染了多少色素進去阿?
牙齒恢復亮白🦷✨✨
我鏡子都捨不得放下來了
這真的是我的牙齒耶
看起來好白好乾淨喔😳😳😳
原來我的牙齒也可以這麼可愛 ?cutie
謝謝醫師細心幫我牙齒美白啦
之後我一定要好好留意飲食
有時間也會盡量進食後去刷牙
減少染色的機會🌈🌈🌈
以後定期半年洗牙我也都會來這裡,
有雅偲牙醫幫我照顧牙齒,我非常放心🥰
#微笑設計專家 #全瓷冠美學診所 #晶亮白美白貼片 #數位設計 #舒適的口掃設備
#露齦笑 #矯正 #全瓷冠 #陶瓷貼片 #牙齒美學 #迷人的微笑 #超薄貼片 #高彩透全瓷冠 #法拉利水雷射
立即預約諮詢 💌
#雅偲牙醫 LINE : https://lin.ee/mlprThR
LINE ID: @arsdentalclinic
https://www.allon4allon6.com.tw/




