【名人分享】睿咩-睿咩開心露齒大笑的秘密~<2>-全瓷冠陶瓷貼片-雅偲牙醫

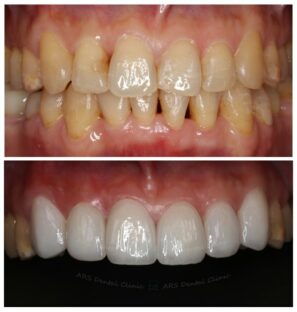
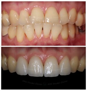
沒想到~只是門牙~~可以差這麼多!!!
整個人都變得有氣質了XD(自己說!!哈哈)
有了美美牙後~睿咩拍照終於敢開懷大笑了!!!(大心)
一週後………………….
又來到了【雅偲牙科】與醫生見面了~^O^~
醫生問我 這幾天帶臨時假貼片的感覺如何
我很無奈的說 都活了這麼多年 我現在才知道 原來我睡覺會磨牙 而且是門牙
醫生非常體貼的說她會幫我做一個防止磨門牙的牙套讓我戴著睡 會改善情況
(在這偷偷說一聲~睿咩好像是因為剛戴貼片 覺得不習慣才會磨牙 之後就沒這問題了)
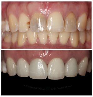
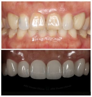
好啦!!說到全瓷冠貼片!!來看看我的正式貼片
是不是一整個很完美~~~超自然的啦!!!跟真牙一樣會透光!!
等不及請醫生幫我戴上美美的貼片了!!!
快幫我敷麻藥~~等不及了啦!!!
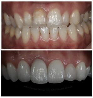
打麻醉後~醫生先幫我把臨時貼片拆下來~
換上了美美的正式貼片~~~
只是暫時先幫我戴上去~讓我看看這個貼片樣式是否喜歡
我看著鏡子~~愛翻天了啦!!!
拜託醫生快幫我永久貼上去吧!!!!!!!
醫生正在幫我上黏著劑~~~
.
.
.
不到10分鐘~包誇清潔全部完成~~~
水啦!!水啦!!~~~~~
給美女醫生拍照做紀錄~~~看我HAPPY的腳腳都飛起來了XDD
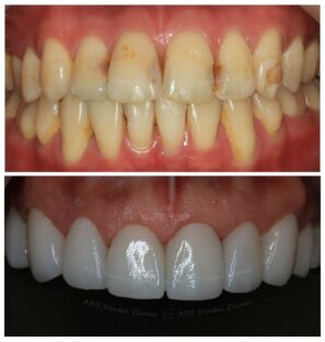
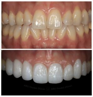
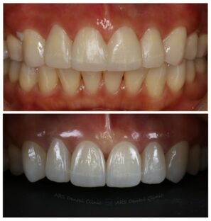
送幾張美美的開懷大笑版睿咩給大家~~~
是不是粉美美~~~敲開心的!!!
超感謝雅偲的蔡昀蓉醫師~讓睿咩可以開心大笑!!!
耶!!!睿咩擁有美美牙~再也不會因為牙齒太亂被退通告了!!(感動~)
有任何牙齒上的問題~快來找我們超紅的美女醫生~~~
蔡昀蓉醫師非常溫柔~讓我這個怕看牙醫的死小孩都愛上了她~~~

更多美學知識